分子筛结果解读
尺寸排阻色谱(SEC)也称为凝胶色谱,俗称分子筛。当洗脱液为水溶液或缓冲液时,称为凝胶过滤色谱(GFC),在生物学领域应用广泛;当使用有机溶剂作为洗脱液时,称为凝胶渗透色谱(GPC),被广泛用于高分子领域。尺寸排阻色谱通常用于分离高分子化合物,如组织提取物、多肽、蛋白质和核酸。
尺寸排阻色谱基于蛋白质分子量或分子形状的差异对样品进行分离。当样品从色谱柱顶部向下移动时,大的蛋白质分子无法进入凝胶颗粒并被快速洗脱;而较小的蛋白质分子可以进入凝胶颗粒,并且较小的蛋白质进入凝胶的保留时间不同。分子量越大,洗脱时间越早,从而使具有不同分子大小的蛋白质被分离。

图1.体积排阻色谱法原理(Wolf et al, 2015)
在蛋白分离纯化中也常用到分子筛,主要有两个作用,一是分离纯化;二是蛋白分析,新手接触的时候不知道怎么去分析分子筛结果,下面以不同的实例解读一下些各自的区别。
分离纯化作用
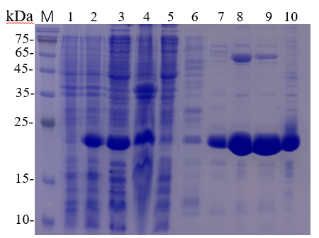
在科研实验中,蛋白纯化第一步通常采用亲和层析,但一步层析大部分情况下很难达到很高的纯度,根据SDS-PAGE胶图结果,可以选用分子筛来进一步分离纯化目的蛋白,需要注意的是分子筛规格的选择,不同大小的蛋白选用的柱子规格可能有差异,需要结合分子筛柱的分辨率来选择,不熟悉的话可以查询柱子说明书。

图2.镍柱纯化结果
(泳道8、9为Elution结果)

图3.泳道8/9过分子筛图谱

图4. 分子筛电泳结果
从结果可看出分子筛能有效分离杂蛋白与目的蛋白。但要注意的是,使用分子筛分离纯化目的蛋白的时候分子量之间应该有较大差异(一倍以上分子量)才能有效分离。
蛋白分析作用
分子筛的另一个作用是作为蛋白分析工具,多聚集态蛋白与单体蛋白分子量不一样,复合物与单个亚基分子量也不一样,分子筛可以利用这种有差异的分子量来分析、分离蛋白状态。


图5.蛋白分析结果
(泳道1为亲和层析样品,纯度高,分子筛有两个峰,主峰明显,
可能是二聚体或者是多聚体,样品均一性较好)

图6.蛋白分析结果
亲和层析纯化后蛋白样品纯度高,分子筛分析出现两个明显峰尖,sds-pag胶检测蛋白大小一致,可以看出蛋白纯化后均一性不高,多聚态和单体混合存在,通过分子可以分离出不同状态蛋白,后续可根据需要选用不用状态蛋白开展工作。
